Family & Implant Dental
Harsh Shah, DMD

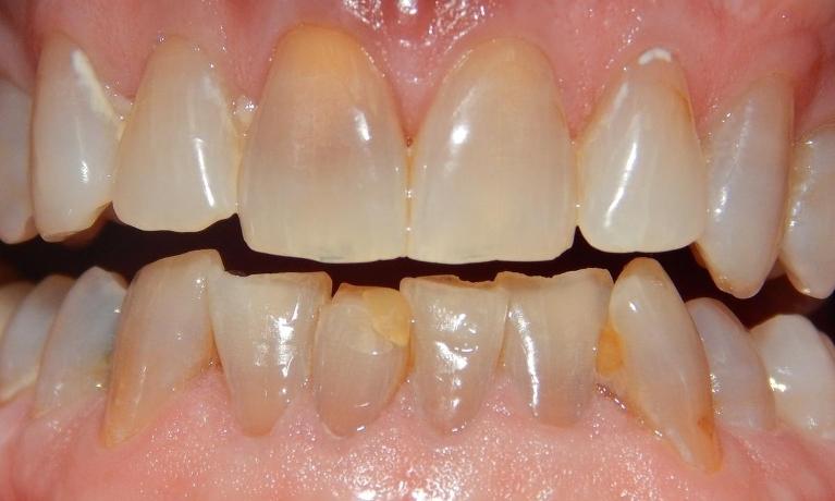
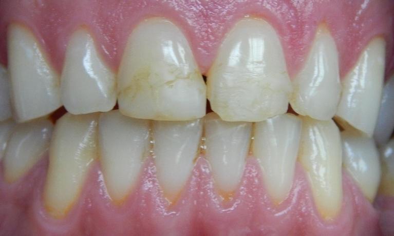
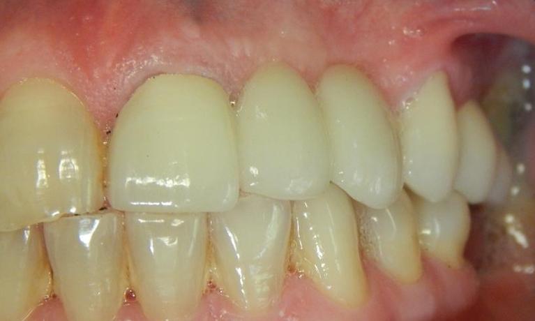
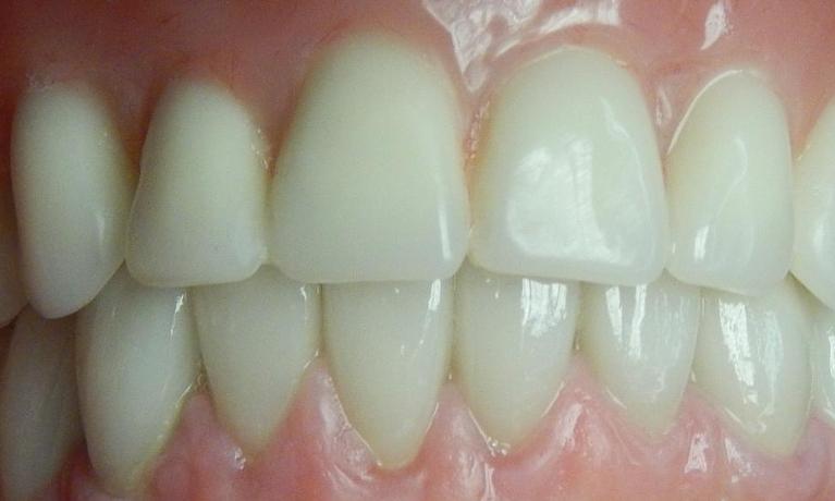
Smile Gallery

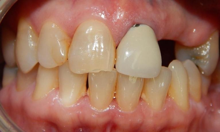
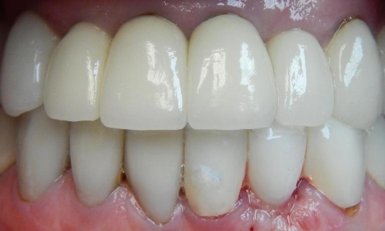
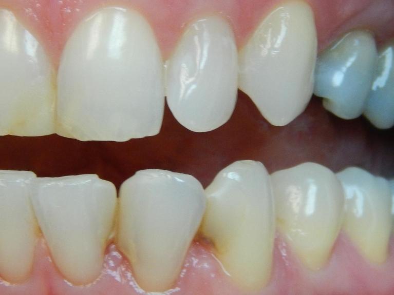
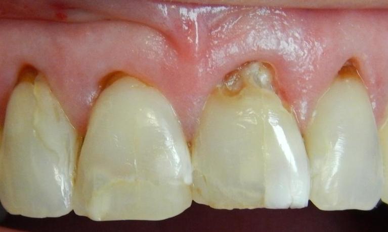
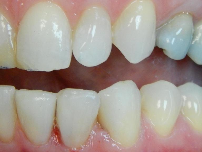
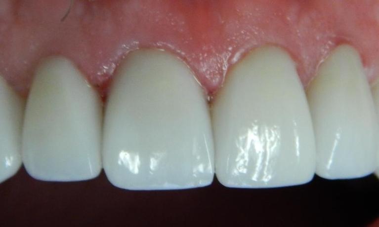
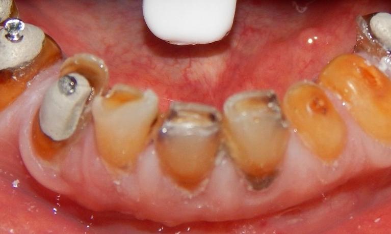
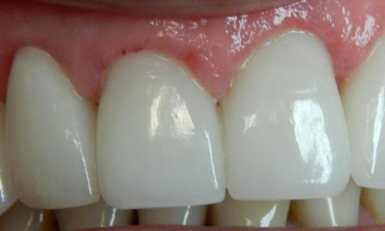
It's amazing what modern dentistry can do to improve the appearance and comfort of your smile!

Here are some of the beautiful before-and-after results from our office. We look forward to helping you achieve the healthy, esthetic smile of your dreams!

Not finding what you need?
Trusted Skill

I am a dental Hygienist. My whole family goes to him for the past several years. I trust his skills and patience. I drive an hour to see him every 6 months. - Nicole C.

If you have difficulty using our website, please email us or call us at (973) 962-4222
View the ADA Accessibility Statement