Family & Implant Dental
Harsh Shah, DMD
Home
About
Our Team
Office Pictures
Services
View All
Family Dentistry
Pinhole Gum Rejuvenation
Advanced Dental Hygiene
Dental Implants
Extractions and Bone Grafting
Invisalign
KöR Teeth Whitening
Oral Cancer Screening
Restorative Dentistry
Root Canal Treatment
TMJ Treatment
Cosmetic Dentistry
Smile Gallery
Patient Info
View Patient Info
Reviews
Forms
Financial
FAQs
Contact
Family & Implant Dental
Harsh Shah, DMD
Book Online
Like us on Facebook
Visit us on Yelp
Watch our Youtube Videos
Leave a Google Review
(973) 962-4222
General and Aesthetic Dentistry
1467 Union Valley Road, West Milford, NJ 07480
Family & Implant Dental
>
Smile Gallery
>
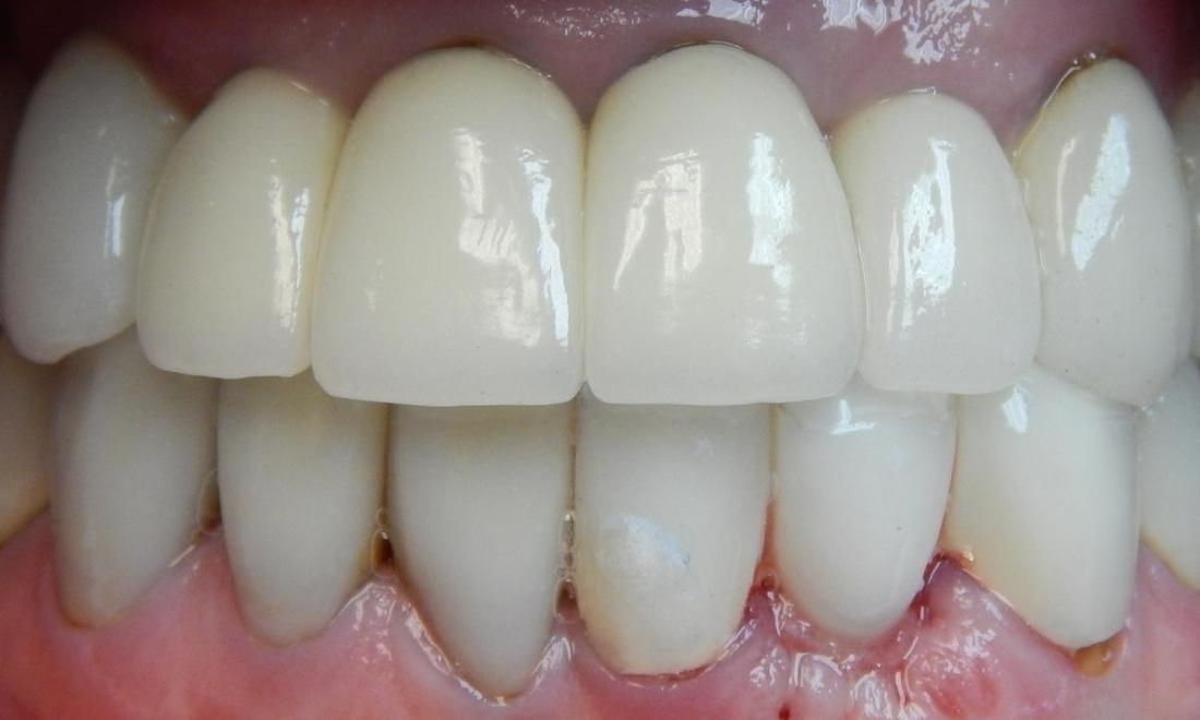
Extraction Bonegraft Temporization
Extraction Bonegraft Temporization
Return to Smile Gallery
Previous
Next
Before
After
Improve your smile today – call to schedule a consultation!
Claim Now!
If you have difficulty using our website, please
email us
or call us at
(973) 962-4222
View the
ADA Accessibility Statement
Turn on ADA Views
Privacy Policy
OK!
×
×
Contact Us Today
Give Us A Call
Family & Implant Dental -
(973) 962-4222
Send Us an Email
Book Online
Contact Us
Ready to Schedule an Appointment?
Book Online
Have Questions? Contact Us:
Required Field
Your Name:
Phone:
Email:
Are you a new patient?:
Are you a?
New Patient
Current Patient
How would you like us to contact you?
Please choose
Email
Call
How did you hear about us?
Please choose
I'm an existing patient
Google/Bing
Mailer
Word of mouth
Social media
Other
Who Referred You?:
Appointment Preferences
Monday
Tuesday
Wednesday
Thursday
Friday
Saturday
Your Message:
This site is protected by reCAPTCHA and the Google
Privacy Policy
and
Terms of Service
apply.
Sending...
×
This Patient's Experience
Loading Testimonial...
Loading Case...